🦷 Signes qui montrent que votre enfant pourrait avoir besoin d’un traitement orthodontique
Découvrez les principaux signes qui indiquent qu’un enfant peut avoir besoin d’un traitement orthodontique. Votre orthodontiste à Fécamp vous explique quand consulter et comment prévenir les déséquilibres dentaires dès le plus jeune âge.
Pourquoi une consultation orthodontique précoce est importante ?
En tant que dentiste réservant la pratique à l’orthodontie à Fécamp, nous rencontrons souvent des parents qui s’interrogent sur le bon moment pour consulter.
Les premiers signes de déséquilibre dentaire ou de croissance peuvent apparaître tôt, parfois dès l’âge de 6 ans. Une évaluation préventive permet d’intervenir au bon moment et de guider la croissance naturelle des mâchoires.
Signes qui doivent alerter les parents
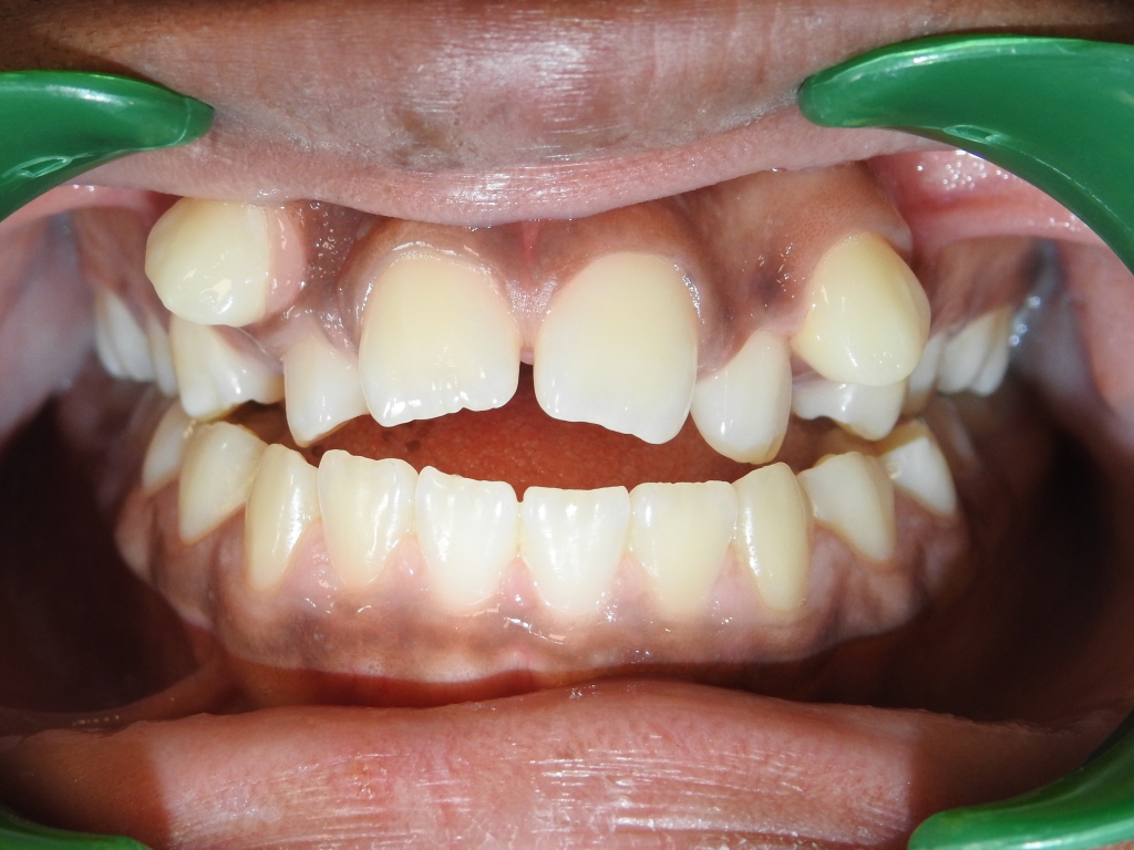
🔹 1. Dents mal alignées ou espacées :
Des dents qui se chevauchent, s’inclinent ou laissent des espaces inhabituels peuvent indiquer un manque ou un excès de place dans la mâchoire.
Ces situations peuvent gêner la mastication, le brossage et, à terme, l’équilibre facial.

🔹 2. Respiration buccale fréquente :

Un enfant qui respire principalement par la bouche peut développer une mâchoire étroite ou un visage allongé. Ce trouble est souvent lié à des causes ORL, mais il a aussi un impact sur la position des dents.
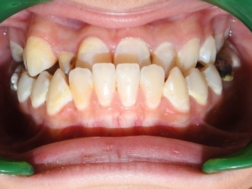
🔹 3. Difficultés à mâcher ou à mordre :
Des difficultés à couper les aliments, une usure irrégulière des dents ou des morsures répétées de la joue peuvent signaler un mauvais alignement des mâchoires.
Une évaluation orthodontique à Fécamp permet d’analyser ces déséquilibres et d’éviter qu’ils ne s’aggravent.

🔹 4. Décalage entre les mâchoires :
Un menton trop en avant ou trop en arrière traduit souvent un décalage de croissance entre les deux mâchoires.
Pris à temps, ce type de problème peut être corrigé avec un traitement interceptif, plus simple que les traitements tardifs.
🔹 5. Habitudes orales persistantes :
La succion du pouce, l’utilisation prolongée d’une tétine ou une position de langue inadaptée peuvent perturber la croissance osseuse et la position des dents.
Le rôle de l’orthodontiste à Fécamp est aussi de corriger ces habitudes pour rétablir un équilibre musculaire et fonctionnel.
🔹 6. Dents de lait tombées trop tôt ou trop tard :
La perte prématurée ou tardive des dents de lait peut influencer la place disponible pour les dents définitives, entraînant un encombrement ou une mauvaise position.
Un contrôle orthodontique préventif permet d’accompagner cette étape de manière adaptée.
À quel âge consulter un orthodontiste à Fécamp ?
L’Association Française d’Orthodontie recommande une première évaluation entre 6 et 8 ans.
À cet âge, toutes les dents définitives ne sont pas encore sorties, mais il est déjà possible de dépister des anomalies de croissance et de mettre en place une surveillance ou un traitement interceptif.

Orthodontie à Fécamp : un suivi personnalisé pour chaque enfant
Chaque enfant est unique : la croissance, la morphologie et les habitudes diffèrent d’un patient à l’autre.
Dans notre cabinet d’orthodontie à Fécamp, nous réalisons un bilan complet pour identifier les besoins spécifiques de votre enfant et déterminer le meilleur moment pour intervenir.
Un suivi orthodontique précoce permet de :
- guider la croissance des mâchoires,
- prévenir les déséquilibres dentaires,
- favoriser une fonction masticatoire harmonieuse,
- et assurer un sourire équilibré et durable.
🗓️ Prenez rendez-vous pour une évaluation orthodontique à Fécamp
👉 Vous remarquez l’un de ces signes chez votre enfant ?
Prenez rendez-vous dès aujourd’hui pour une consultation d’évaluation orthodontique à Fécamp.
Nous vous accueillons au cabinet pour un diagnostic complet et des conseils personnalisés.